Veneers Treatment
Flawless Smile, Natural-Looking Teeth
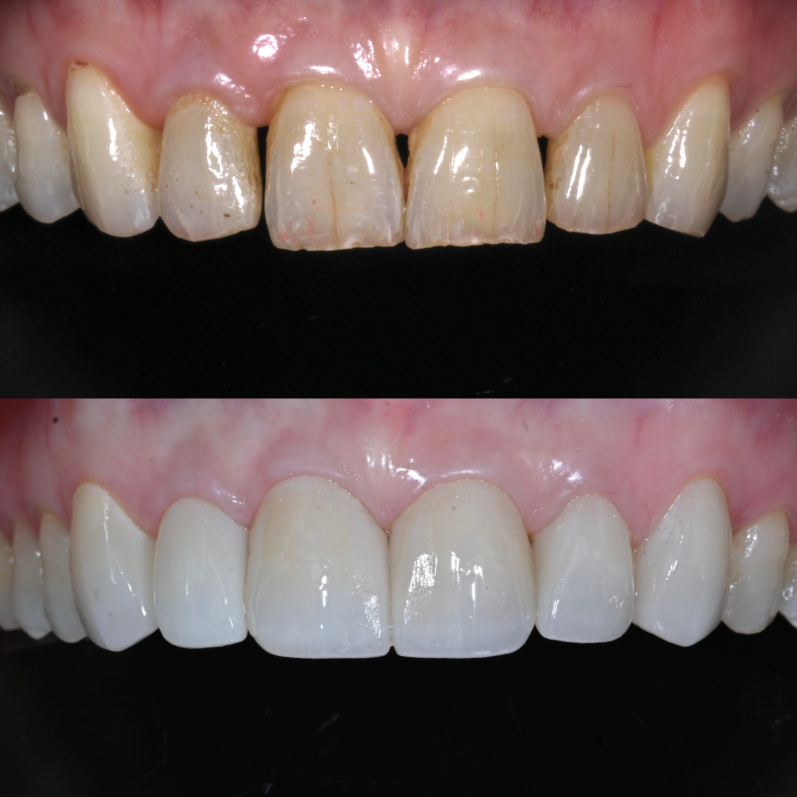
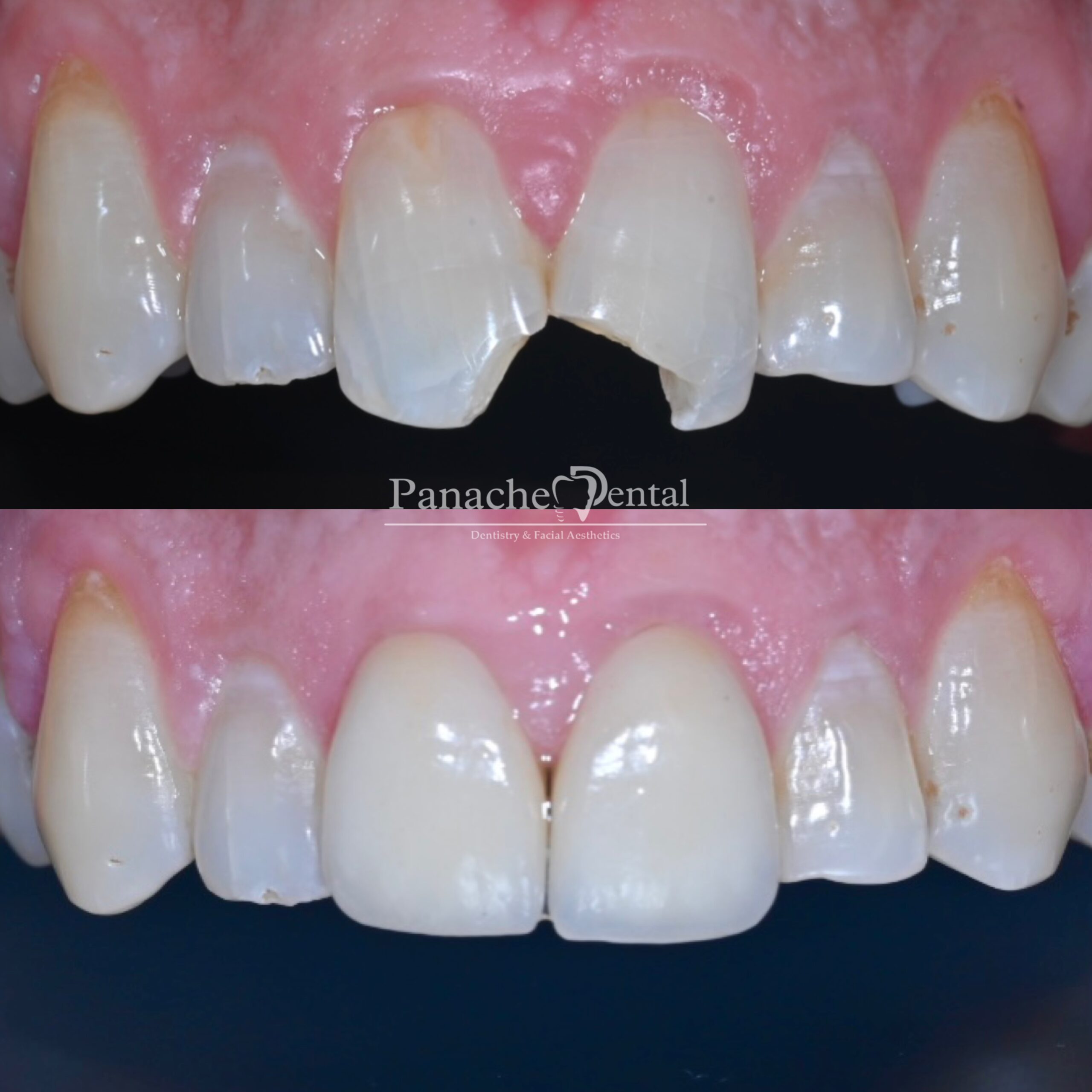
At Panache Dental Clinic, we offer advanced veneers treatment to help you achieve a beautifully enhanced, confident smile. Veneers are ultra-thin ceramic or composite shells placed on the front surface of your teeth to correct imperfections with precision. Led by our skilled dental professionals, we provide Porcelain Veneers, Composite Veneers, and Lumineers each tailored to your dental needs and aesthetic goals.
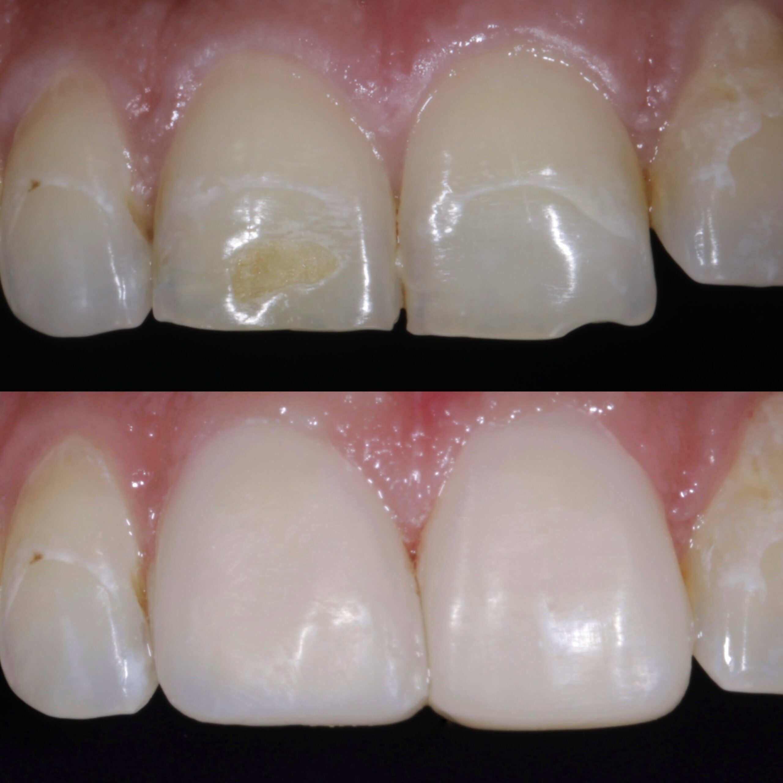
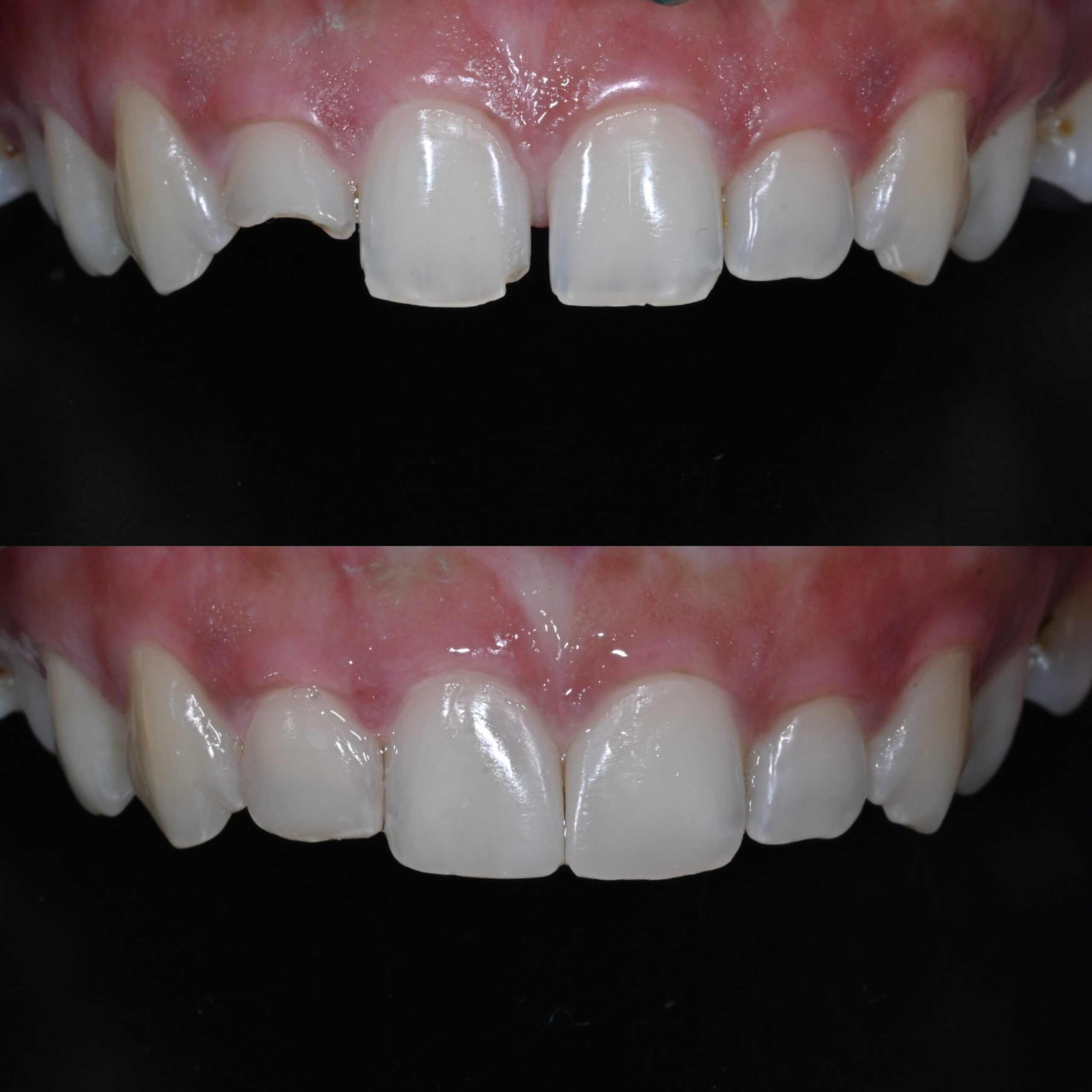
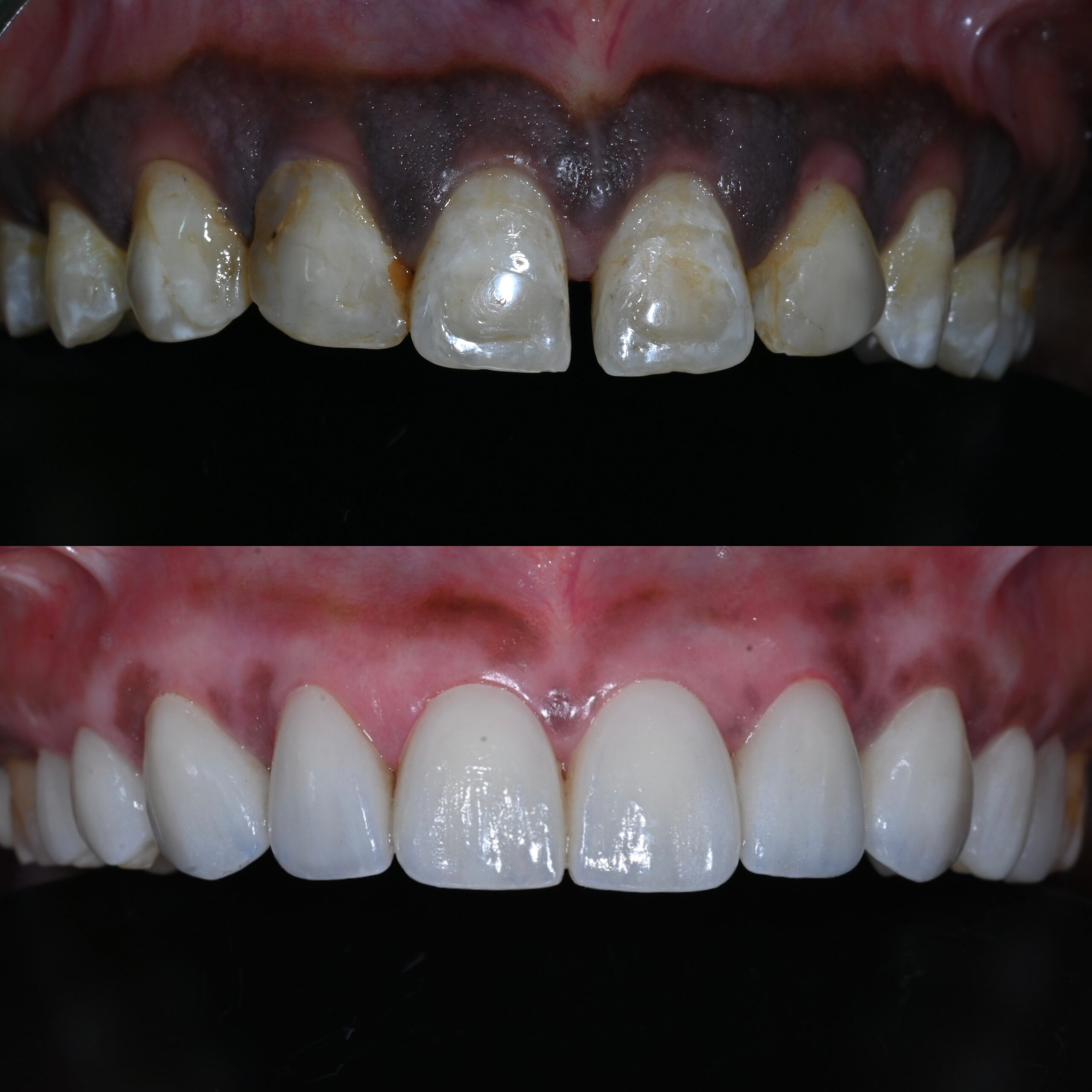
Whether you are concerned about minor misalignment, gaps between teeth, chipped edges, discoloration, or irregular tooth shapes, our personalized veneers approach ensures stunning, long-lasting results with maximum comfort. Porcelain veneers offer exceptional shine and durability, composite veneers give quick and minimally invasive enhancement, while Lumineers provide ultra-thin, natural-looking transformation with little to no tooth reduction.





Root Canal Treatment
Extraction
Teeth Whitening
Braces
Smile makeover
Implants
Let’s Begin Your Perfect Smile Journey Together
We’re here to give you the flawless, confident smile you’ve always wanted.
Veneers Treatment
Get a Perfect Smile with Veneers in Panchsheel Park
Are you unhappy with chipped, stained, or uneven teeth? Do gaps or discoloration stop you from smiling freely? Veneers can be the ideal solution to transform your smile quickly and comfortably. If you’re looking to enhance your smile with natural-looking veneers in Panchsheel Park, visit Panache Dental Clinic.
Veneers are ultra-thin shells placed on the front surface of teeth to improve their appearance instantly. They help correct issues such as minor misalignment, worn edges, gaps, and stubborn discoloration giving you a brighter and more confident smile.
Common Reasons You May Need Veneers
Understanding what affects your smile helps you choose the right treatment. Here are some common dental concerns veneers can effectively address:
Discolored Teeth: Deep stains from coffee, tea, wine, smoking, or aging that don’t respond to whitening.
Chipped or Worn Teeth: Everyday habits or accidental damage can cause cracks or uneven edges.
Gaps Between Teeth: Small spaces that affect your smile symmetry.
Misshapen Teeth: Teeth that appear too small, uneven, or irregularly shaped.
Mild Misalignment: Slightly crooked teeth that need aesthetic correction.
How Long Do Veneers Last?
Veneers are a long-lasting cosmetic solution, but they are not permanent. Their lifespan typically ranges from 10–15 years, depending on the type of veneers you choose and your oral habits.
With good care regular brushing, flossing, and avoiding habits like biting hard objects your veneers can stay beautiful for many years. Porcelain veneers retain their shine and resist stains far better than natural teeth, making them a popular choice for long-term smile enhancement.
Panache Dental Clinic is committed to helping you make informed decisions about improving your smile. We ensure comfort, precision, and a personalized approach so you achieve the natural, radiant look you’ve always wanted.
Get a stunning, confidence-boosting smile visit Panache Dental for premium veneers treatment in Panchsheel Park.
Frequently Asked Questions
What are the aesthetic benefits of veneers?
Veneers provide a clear, whiter smile that boosts self-confidence. Many patients also experience improved speech and a fresh new look.
Are there permanent and temporary veneers?
Yes, both permanent and temporary veneers are available depending on your treatment plan.
Can I brush my veneers?
Yes, you can brush veneers, but you should be careful about the type of toothpaste you use to avoid damage.
How do I care for my veneers?
Veneers require no special care, treat it like your natural teeth and visit your dentist regularly after every 6 months for professional cleaning.





